What Does A Pelvic Mri Scan Show

Hello there, curious minds! Ever found yourself wondering about the unseen wonders within our bodies? Today, we're diving into a topic that might sound a bit clinical at first, but trust me, it's fascinating and incredibly useful: what a pelvic MRI scan can reveal. While it's not exactly a weekend hobby or a thrilling adventure for most, understanding this powerful diagnostic tool is like gaining a secret map to a vital part of our anatomy.
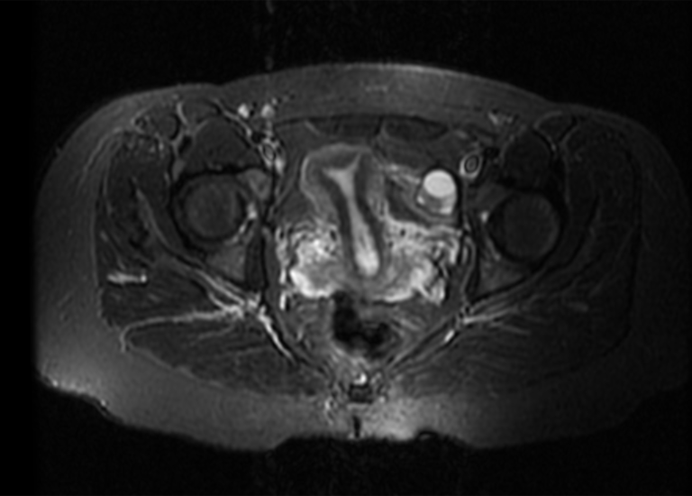
So, why do people (and more importantly, their doctors!) turn to pelvic MRIs? It’s all about getting a crystal-clear, detailed picture of the organs and structures within the pelvic region. Think of it as an ultra-high-definition, 3D tour, but without the need to pack a suitcase or book a flight. The primary benefit for everyday life, though often unseen by the patient directly, is accurate diagnosis and effective treatment. When something isn't quite right, an MRI can pinpoint the exact location, size, and nature of an issue, leading to quicker, more targeted care. This ultimately means less worry, less discomfort, and a better chance of getting back to enjoying all those everyday activities we love.
What kind of things can this incredible technology uncover? For women, a pelvic MRI is a game-changer for understanding conditions affecting the uterus, ovaries, and cervix. It's instrumental in diagnosing and staging conditions like fibroids (those common, often harmless, but sometimes problematic growths), endometriosis (where uterine tissue grows outside the uterus, causing pain), and even various forms of gynecological cancers. It can also shed light on pelvic pain causes and infertility investigations. For men, it's crucial for examining the prostate gland, seminal vesicles, and bladder, helping to detect conditions such as prostate cancer, inflammation, or other structural abnormalities. It's also valuable in cases of pelvic trauma or unexplained pelvic pain for both genders.
Must Read
Now, you might be thinking, "An MRI sounds a bit daunting!" and it can be. But there are ways to make the experience as smooth and effective as possible. Firstly, communication is key. If you have any anxieties about enclosed spaces or the noise the MRI machine makes, speak to your doctor or the MRI technician beforehand. They can offer solutions like earplugs, a calming medication, or even a special open MRI machine if available. Secondly, follow all pre-scan instructions carefully, especially regarding fasting or avoiding certain medications. This ensures the images will be as clear as possible, giving the radiologist the best chance to see exactly what they need to. Finally, remember that while the scan itself is a medical procedure, the information it provides is invaluable for your long-term health and well-being, allowing you to live a more comfortable and fulfilling life. So, next time you hear about a pelvic MRI, don't shy away; understand it as a powerful tool working behind the scenes to keep you at your best!
